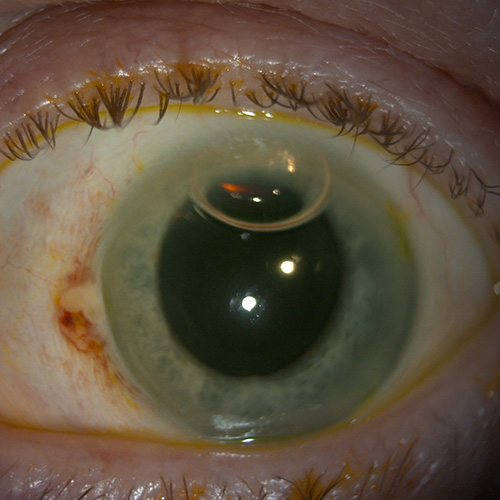
Refractive Lens Exchange (RLE)

POST OP COACHING

AT CLARITY LASER VISION

DAY 1

EXPECTED VISION

  • 20/20 – 20/60
  • Mixed astigmatism common due to edema at incision

PATIENT EXPERIENCES

  • Minor irritation
  • Photophobia
  • Near vision blur
  • Peripheral shallows

TESTS TO PERFORM

  • UCVA
  • IOP
  • Slit Lamp Exam (pupil may still be dilated)

POINTS TO DISCUSS

  • Normal to have photophobia
  • Normal to have day/night halos
  • Near vision will improve
  • Review of medications
  • Review of activity restrictions

MEDICATION PROTOCOL

  • Vigamox 0.5% qid x 1 week
  • Lotemax 0.5% gel OR Maxidex 0.1% qid x 1 week, then tid x 1 week, then bid x 1 week, then qd x 1 week, then stop
  • Acuvail bid x 4 weeks
  • Preservative free artificial tears q15-20 minutes

IMPORTANT: It is highly recommended to have a well stocked emergency IOP Kit and have an emergency IOP protocol

Suggested IOP Kit contents and protocol

Question

My patient complains of
peripheral shadows/arcs of
light. Is this normal?

Contact Clarity Laser Vision

For More Immediate Assistance,
Call (403) 640-0400